Free Invisalign consultation
Qualified at Birmingham Dental School in 1996, after which she has undertaken extensive postgraduate training and qualifications, including Primary Certificate in Dental Homeopathy, and certifications in Endodontic (root canal treatments) and Cosmetic Dentistry. She is a member of the British Academy of Cosmetic Dentistry, the British Endodontic Society and the British Periodontal Society. Dr Elaine Haworth has been an Invisalign provider since 2005.
Main areas of interest: Holistic and Cosmetic Dentistry including dental bonding, veneers, smile makeovers, endodontics and Invisalign orthodontic treatments for adults and teens.
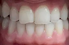
Whether you get braces or aligners, orthodontic treatment is likely to cost upwards of £3,500 or even more, depending on the specific type of appliance. For Example: Metal braces – £1,500 to £3,000. Ceramic braces – £4,000 to £6,000.
Metal braces are one of the most common and effective methods for correcting dental misalignments. Consisting of brackets that attach to each tooth and wires that the dentist adjusts periodically, metal braces are a reliable option for correcting complex bite issues.
Orthodontic treatment is available on the NHS for young people under the age of 18 at no cost. NHS orthodontic treatment isn’t usually available for adults, but may be approved on a case-by-case basis if needed for health reasons.
EXCELLENT Based on 211 reviews Posted on Farhan PatelTrustindex verifies that the original source of the review is Google. Was so easy to book an emergency appointment with great flexibility and advice. I didnt even have to call and wait in a long que a simple email was sufficient. Highly recommended.Posted on Patricia BradyTrustindex verifies that the original source of the review is Google. Mary the hygienist has given me great advice and I now just pop in every 6 months for a clean and polish. Elaine, Mary and all the staff are lovely and put you at ease. I’m not a fan of going to the dentist, but I don’t mind going to Willaston at all!Posted on Georgia JTrustindex verifies that the original source of the review is Google. Thank you April for such a positive experience during my hyginest appointment. Would 100% recommend☺️Posted on Jemma ClareTrustindex verifies that the original source of the review is Google. Ellie was just wonderful from start to finish. She was thorough and reassuring. I couldn't recommend her enough. Thank you 🤩Posted on S McCoyTrustindex verifies that the original source of the review is Google. Finally found a NHS dentist, hadn't been for ages after my last horrendous appointment at previous dentist, I was petrified, the dentist & assistant were absolutely lovely which just made me feel lot calmer inside. Soooo pleased I found this dental practice 😊Posted on Philip SweeneyTrustindex verifies that the original source of the review is Google. There covid protocol was impressive and as always they make you feel that you are important and listen and discuss your needs in a professional manner. The atmosphere that the practice has created is one that makes you feel relaxed and comfortable. I would recommend this practice to anyone that feels apprehensive about going to the dentist.Posted on Bill WelshTrustindex verifies that the original source of the review is Google. My dentist, Elinor, was very good at putting me at ease, explaining what the process was that she would be carrying out and informing me to indicate to her to stop at any point during the process if I was feeling any pain or in discomfort. Overall I would say that she is very easy to talk to and has a very pleasant and professional attitude to her patients.Posted on Jonny.STrustindex verifies that the original source of the review is Google. Excellent service as alwaysPosted on Sue PercivalTrustindex verifies that the original source of the review is Google. I am a scaredy-cat when it comes to dentist, however from the efficient understanding receptionists to the dentist, hygienist & all the dental nurses, I can’t fault them. If you are lucky enough to be a patient then you are in good hands